


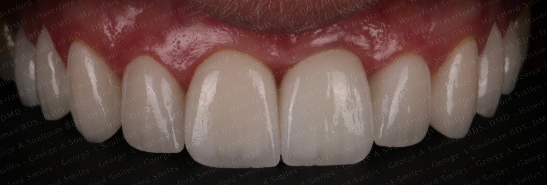
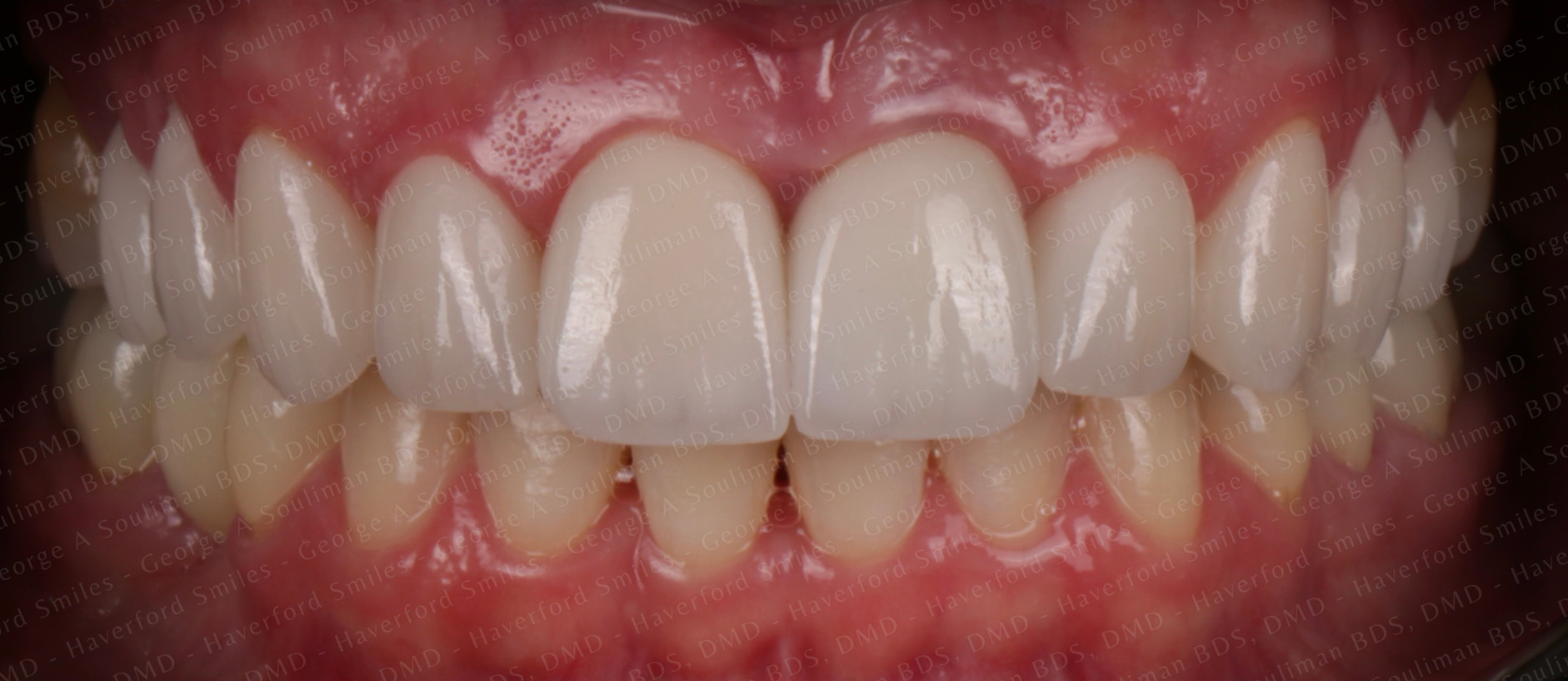
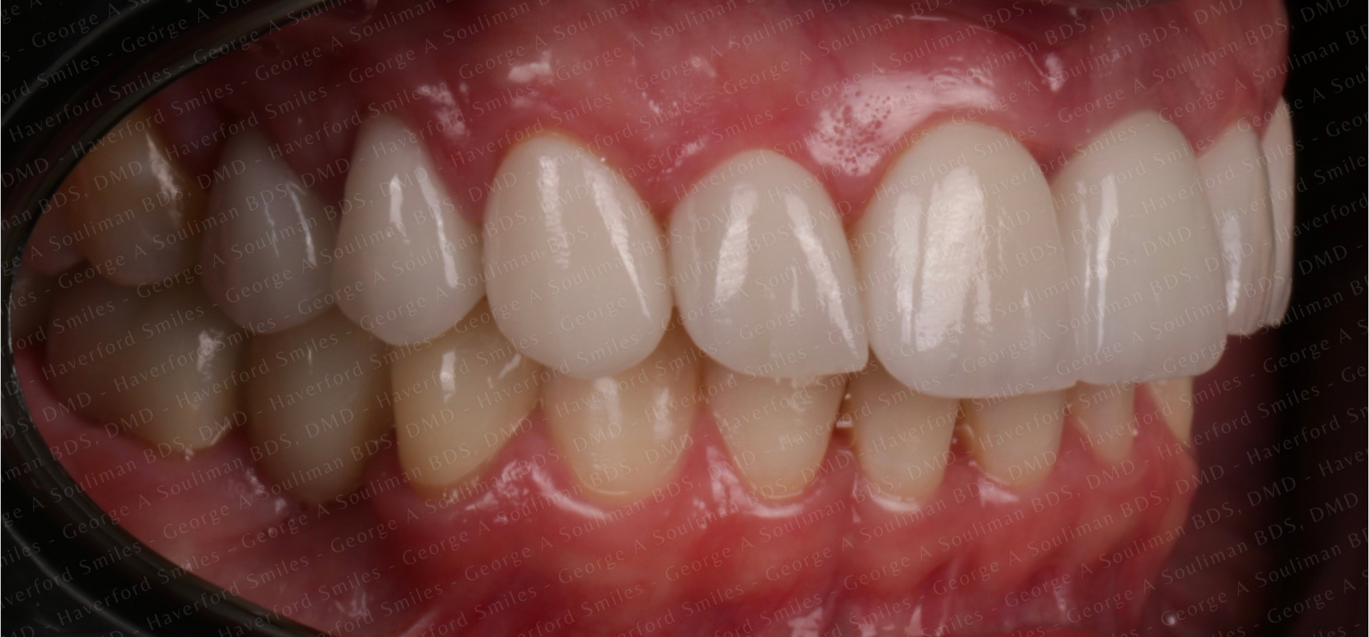
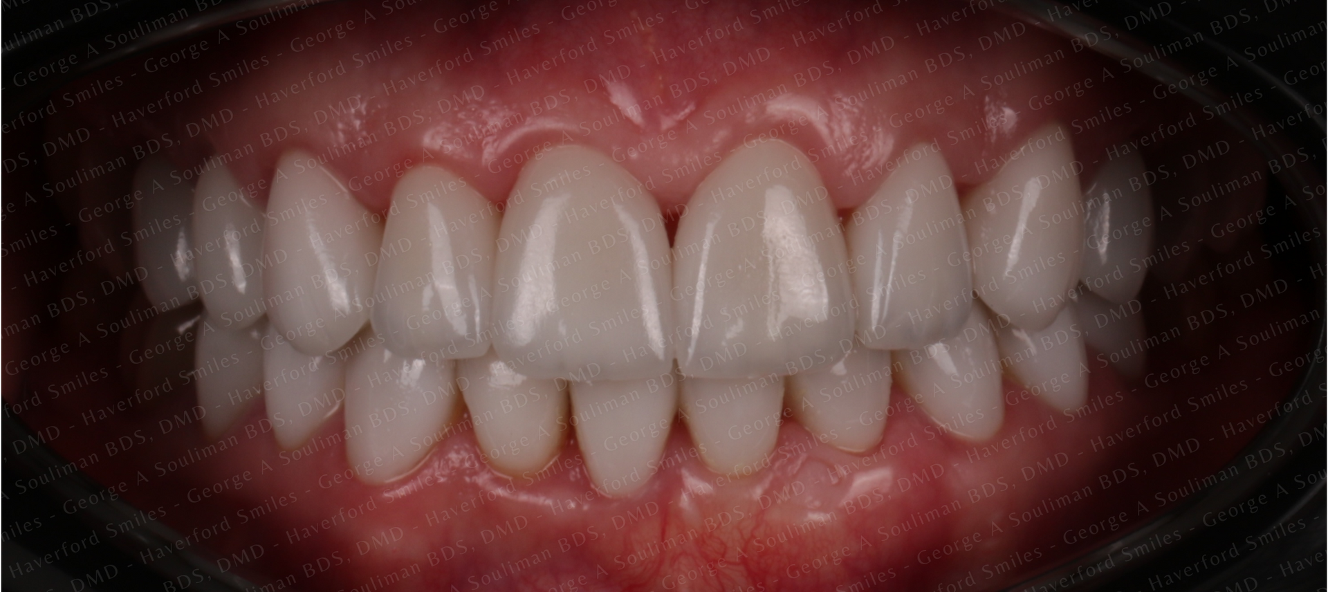
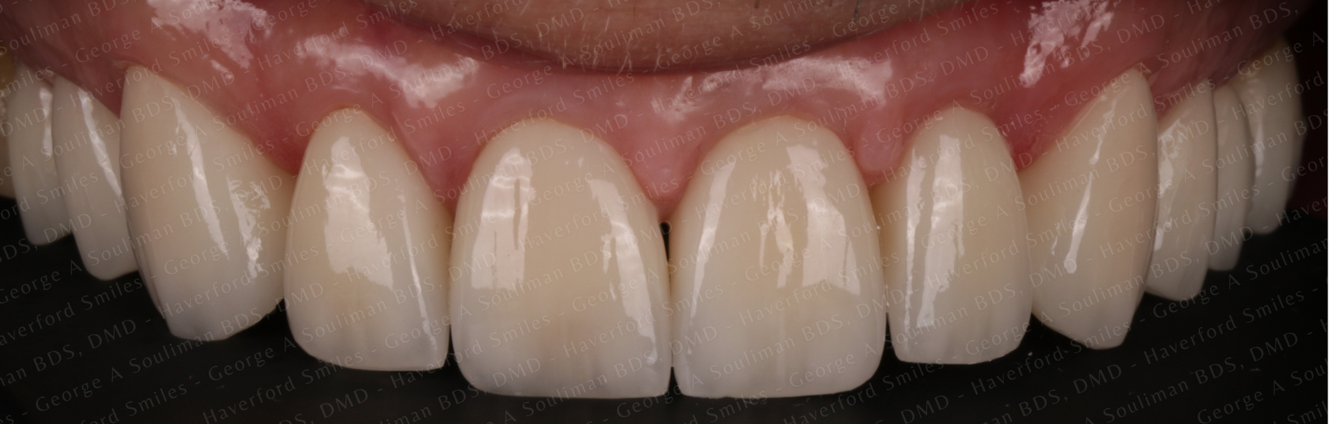
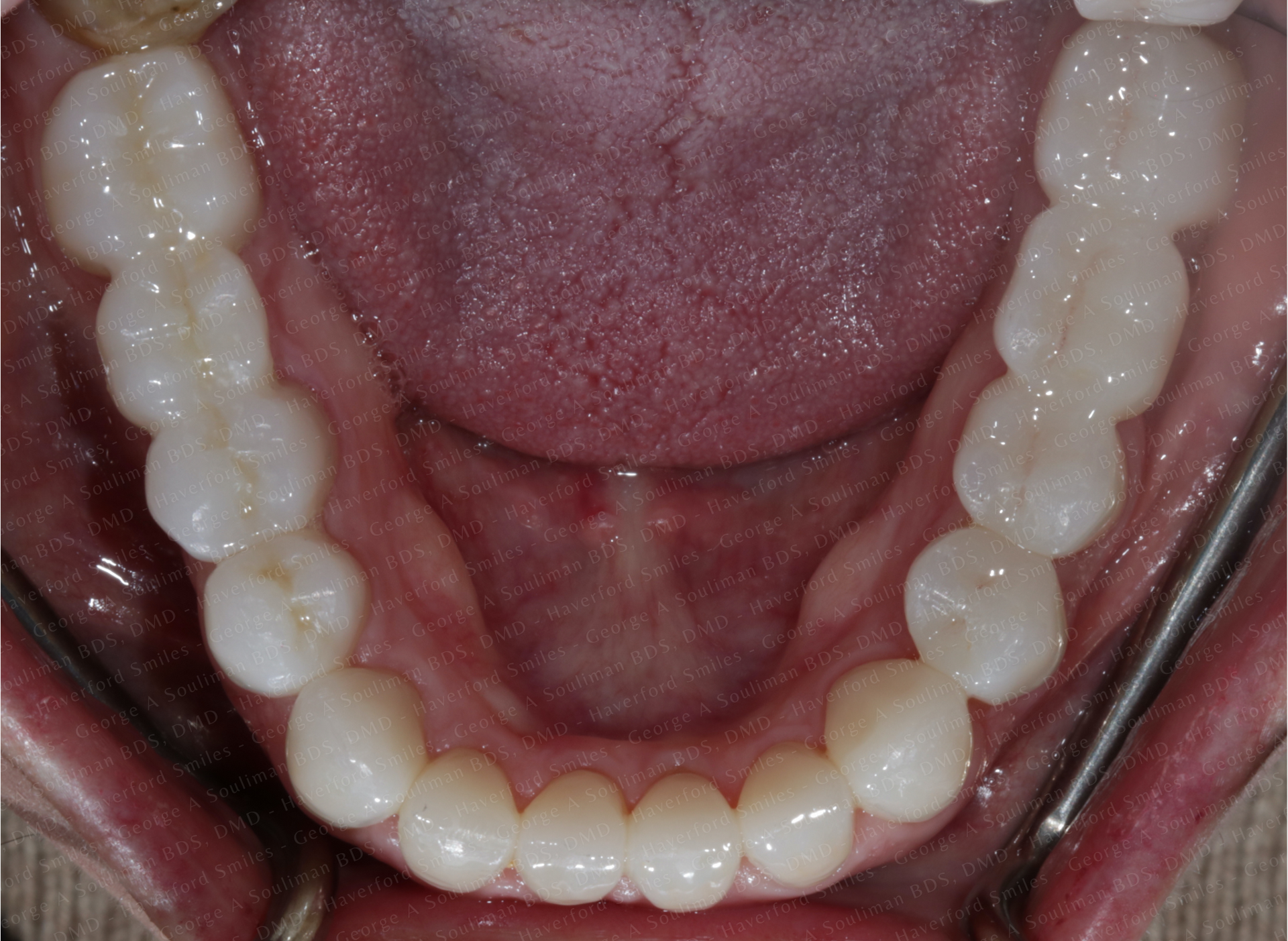
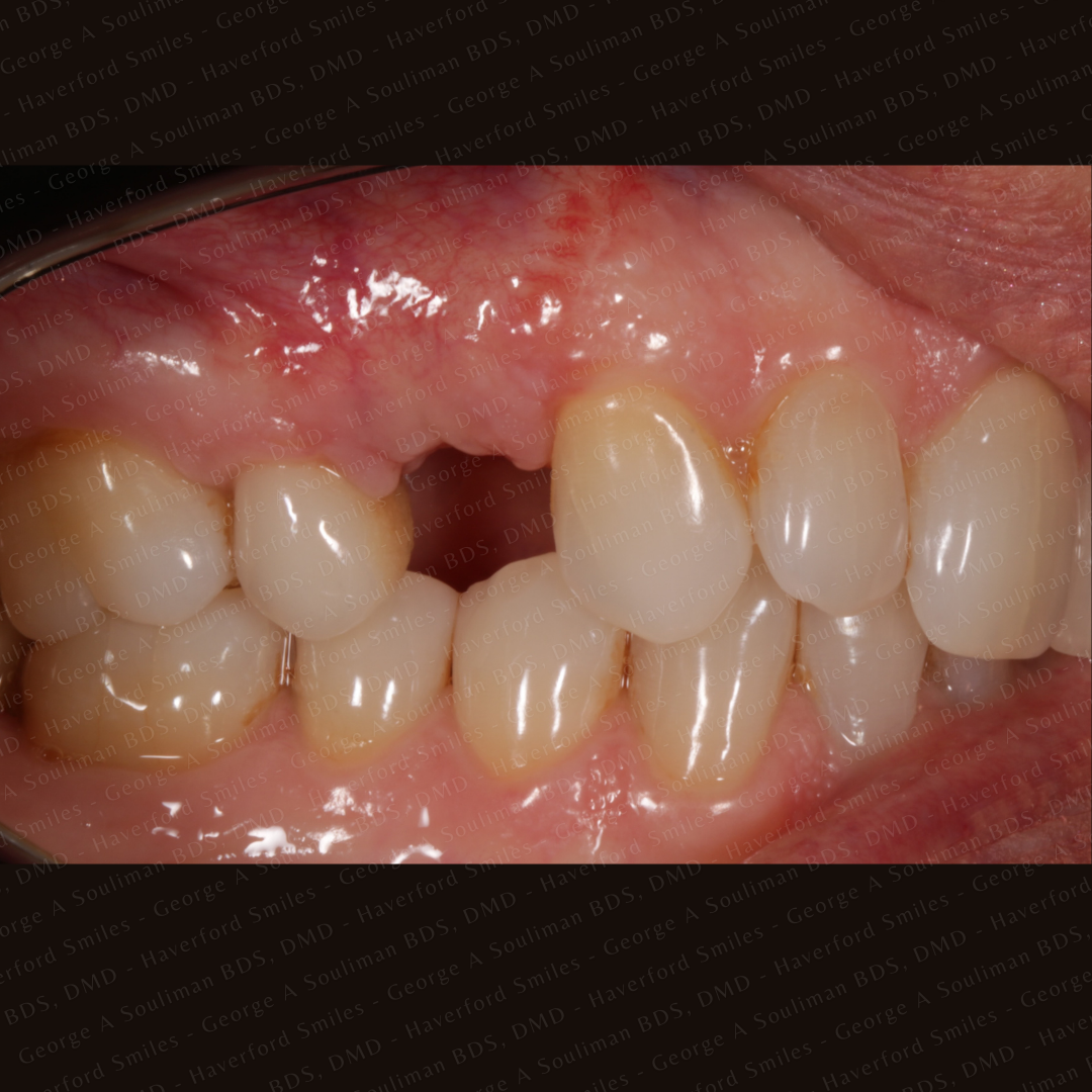
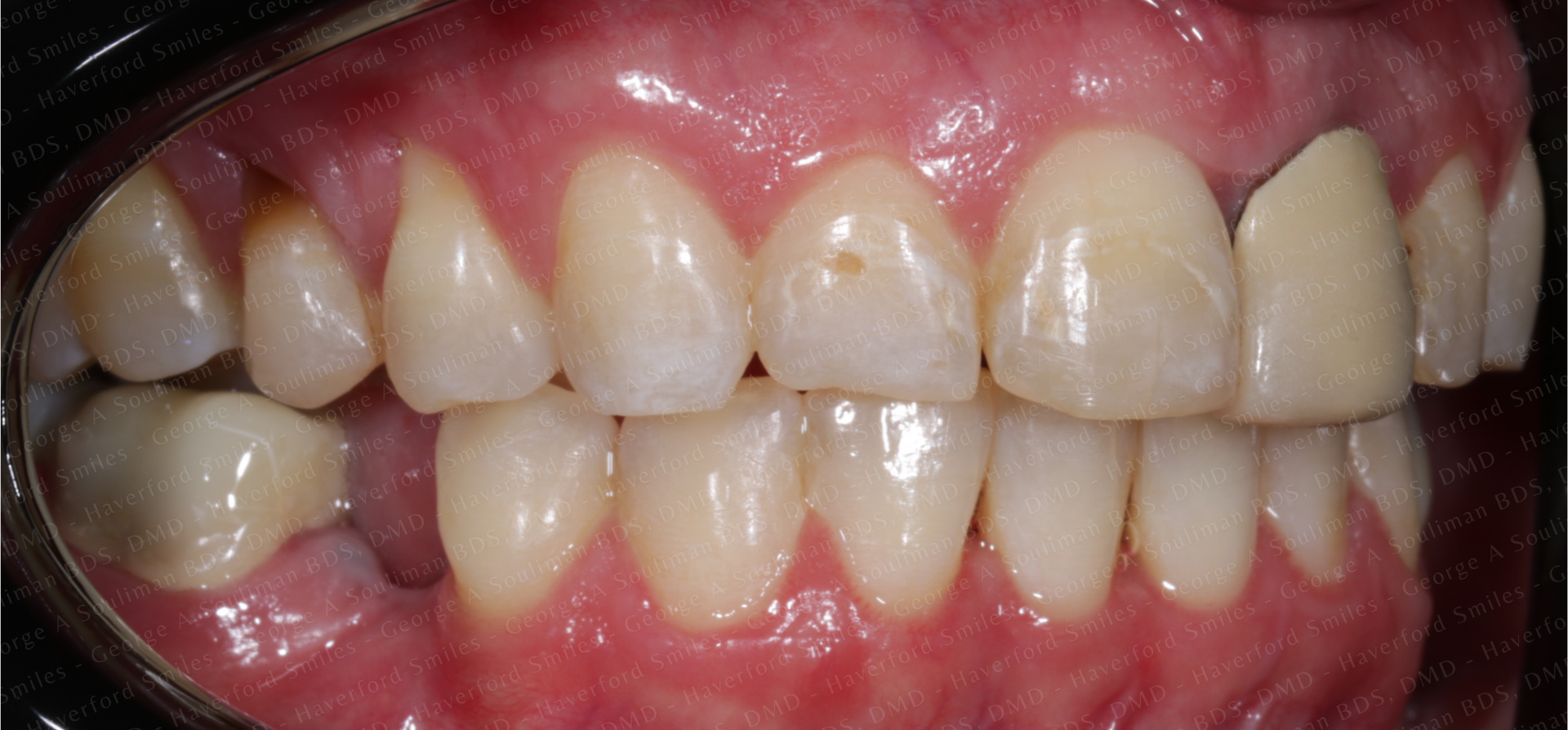
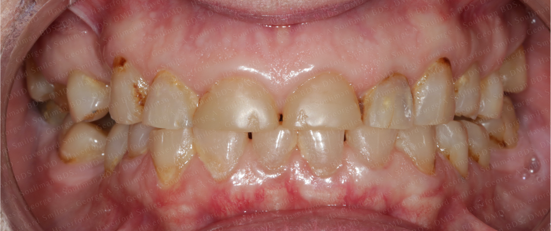
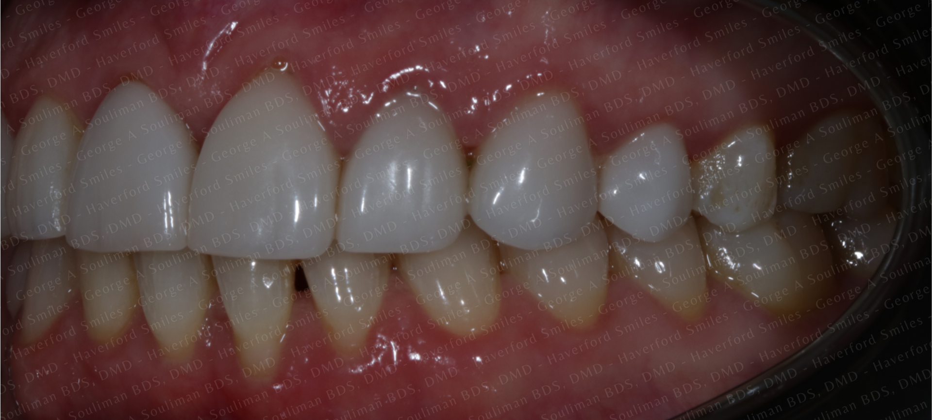
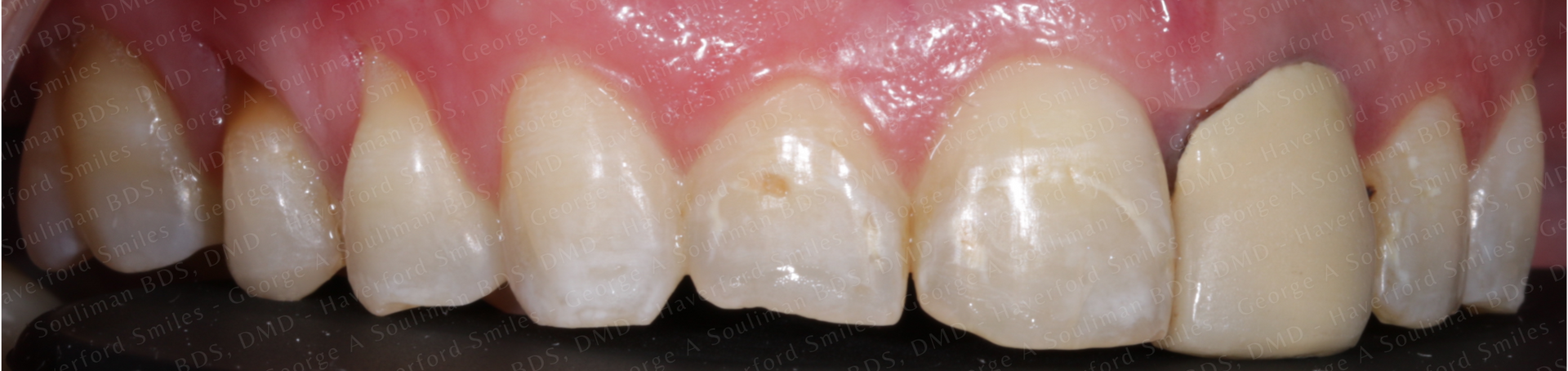
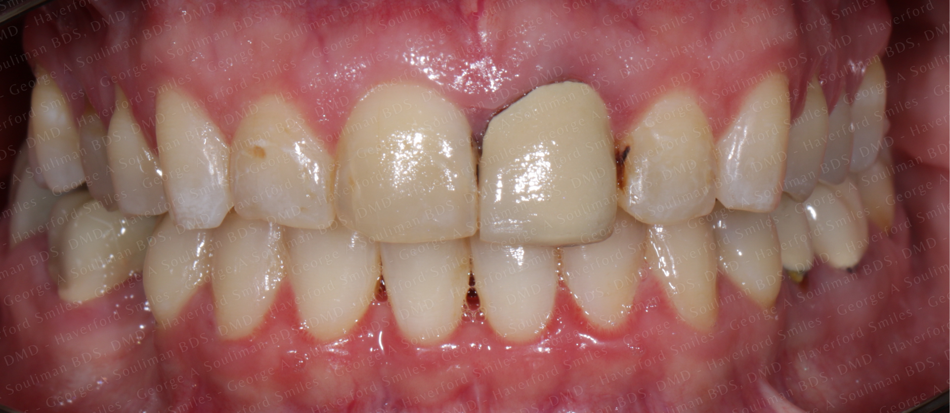
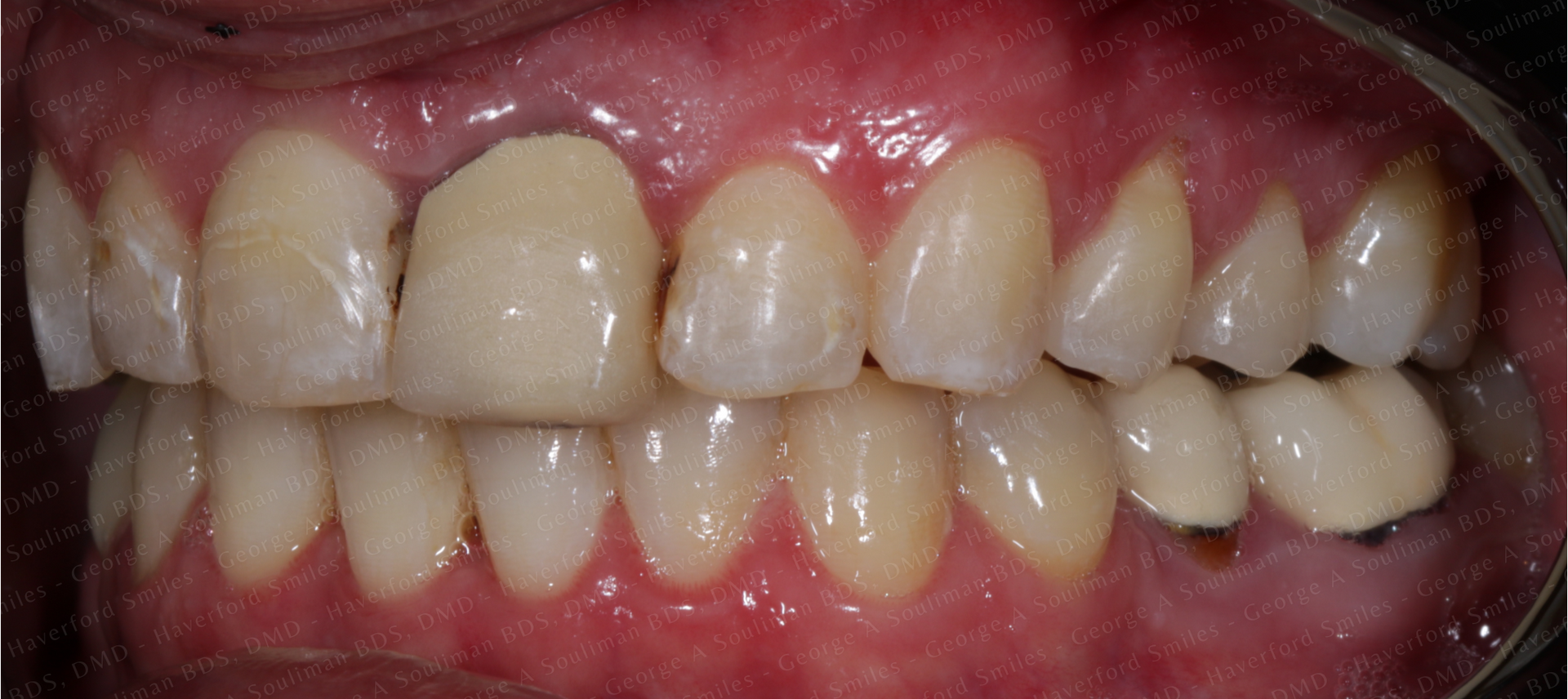
Anterior Mouth Rehab - Upper and Lower Bridgework
This patient started with severely worn, discolored, and damaged front teeth that affected both their smile and ability to chew comfortably. After complete upper and lower bridgework, they now have a brighter, stronger, and natural-looking smile that restores confidence and function.






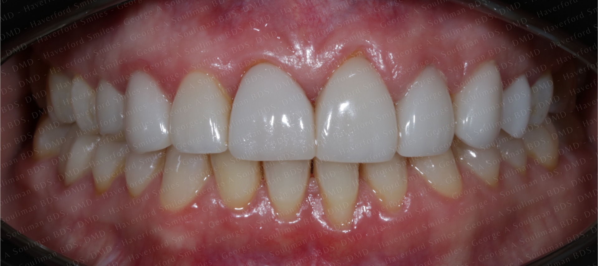
Full Mouth Rehab with Ceramic Veneers, Ceramic Crowns & Ceramic Bridge
This treatment combines veneers, crowns, and bridges to fully reconstruct the smile, enhancing both aesthetics and oral function with personalized planning.




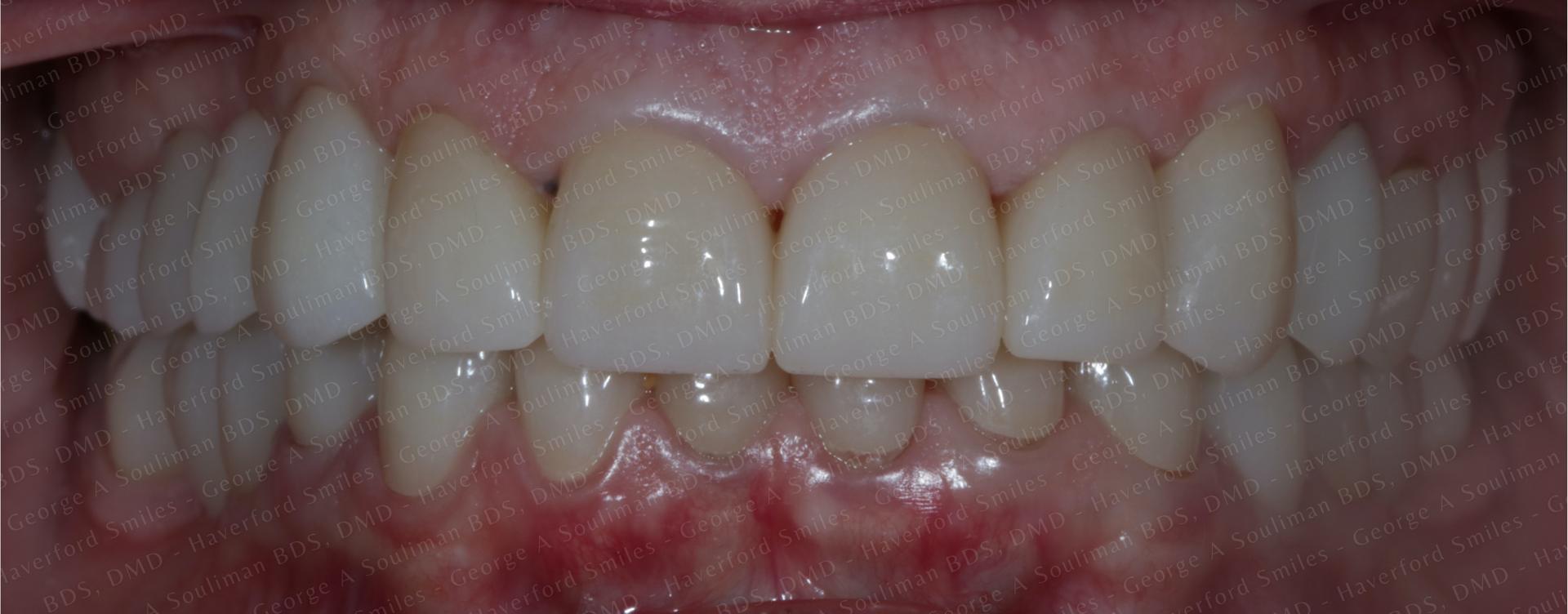
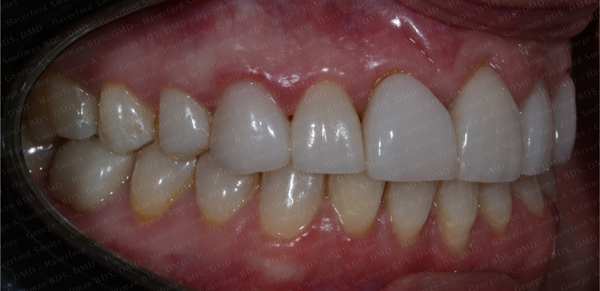
Full Mouth Rehab with Ceramic Veneers & Ceramic Crowns
A comprehensive solution using veneers and crowns to address cosmetic and functional concerns, creating a radiant, balanced smile that meets the patient’s unique needs.



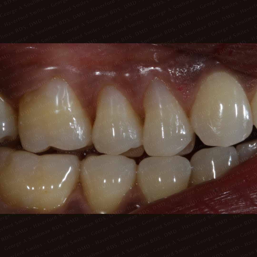
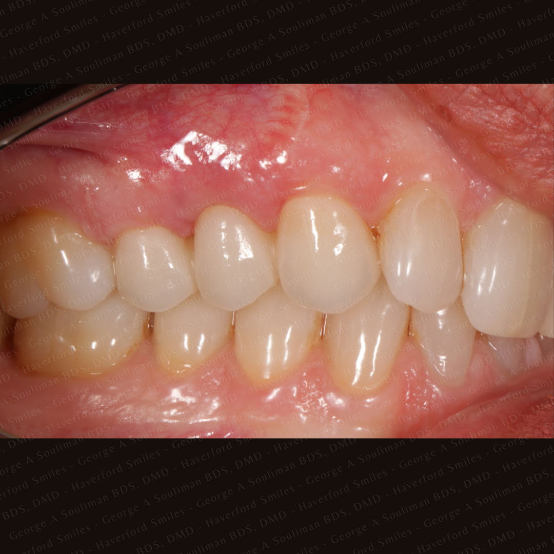
Maxillary Arch Rehab with Upper Ceramic Crowns
Focused on the upper arch, ceramic crowns restore strength, shape, and beauty to worn, damaged, or weakened teeth. Results are durable and lifelike.
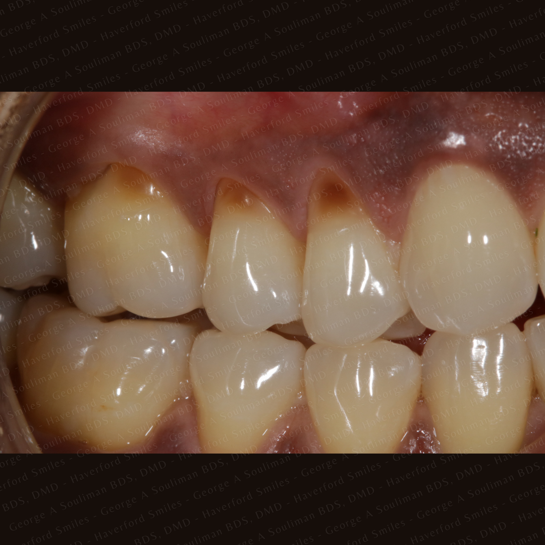
Cosmetic Ceramic Bridge
A ceramic bridge replaces one or more missing teeth by anchoring to adjacent natural teeth. It restores chewing function, maintains facial structure, and creates a seamless, natural-looking smile.

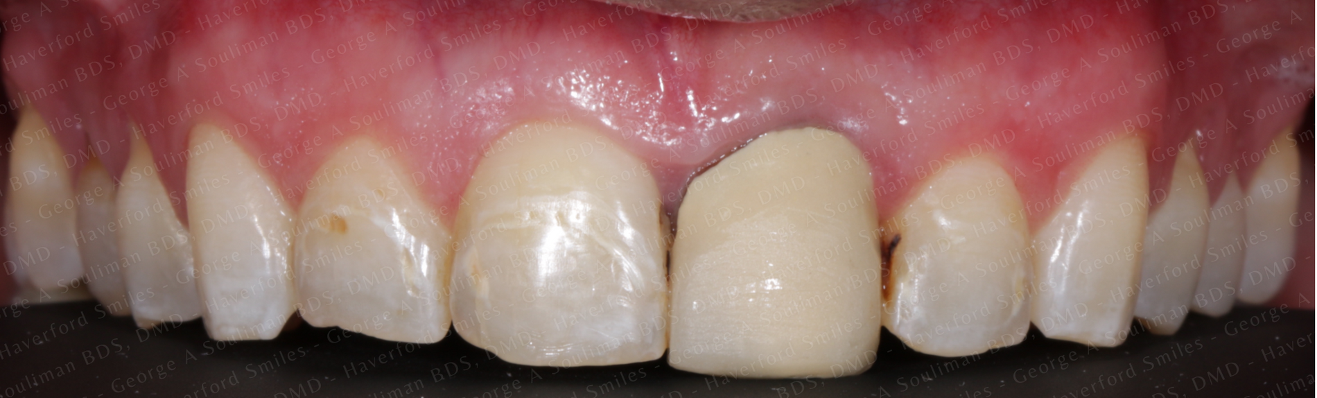
Front Ceramic Crown
Front ceramic crowns fully cover a tooth to restore its shape, strength, and appearance. They are custom-made for a natural look and are ideal for repairing damaged or discolored front teeth.

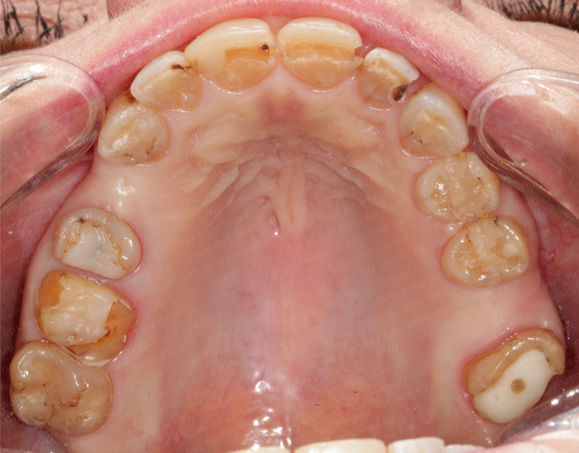
Ceramic Onlay
Ceramic onlays repair larger areas of a tooth that cannot be fixed with a simple filling. They provide strength and durability while preserving as much natural tooth structure as possible.

Composite Bondings
Composite bonding repairs and reshapes teeth with a durable, tooth-colored material. It’s a quick, minimally invasive way to improve your smile’s appearance.

Front Composite Bondings
These transformations enhance the front teeth using tooth-colored composite material. They can fix chips, gaps, or minor imperfections, creating a natural, seamless smile.

Front Ceramic Veneers
Thin ceramic shells are placed over the front teeth to dramatically improve color, shape, and alignment. The results are long-lasting and look completely natural.

Composite Fillings
These tooth-colored fillings restore decayed or damaged teeth while blending seamlessly with your natural enamel. They’re functional, strong, and aesthetically pleasing.


Zoom Whitening
Professional whitening treatments brighten your smile safely and effectively, often revealing a shade several levels lighter in just one visit.



Full Mouth Rehab with Ceramic Crowns & Ceramic Bridges
This comprehensive approach restores both function and aesthetics using ceramic crowns and bridges. Patients regain healthy bite alignment, chewing ability, and a balanced, attractive smile.


Full Mouth Rehab with Ceramic Veneers, Implants & Ceramic Crowns
Combining veneers, crowns, and implants, this full smile makeover addresses missing or damaged teeth while improving overall appearance and function.


